HNO & Radiologie: gemeinsam durch die NNH – ein Joint Venture (Webinar | Online)
Dr. med. André Reisberg
Dr. med Sebastian Plößl
Die bildgebende HNO-Diagnostik macht es Anfängern nicht leicht. Die Anatomie ist komplex und weniger intuitiv als in anderen Körperregionen.
Normvarianten erschweren insbesondere in den Nasennebenhöhlen den Lernprozess. Sobald pathophysiologische Zusammenhänge verstanden und wichtige klinische Aspekte verinnerlicht wurden, gelingt es einen praxistauglichen, belastbaren Befund zu erstellen.
Wo muss ich eigentlich hinschauen? Was will der Kliniker von mir wissen und warum?
Begleiten Sie uns auf einer kooperativen Reise durch die NNH mit „Ach so!“-Garantie:
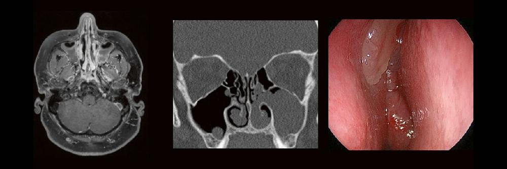
Gemeinsam mit einem HNO-Chirurgen werfen wir einen Blick IN die NNH – mal in grau, mal in Farbe. Denn alles fällt leichter, sobald man verstanden hat, warum man es tut.
KOSTENFREI
Die Teilnahme am RADCAMPUS ist für medizinisches Fachpersonal und Angehörige der Heilberufe kostenfrei. Wenn Sie an mehreren Seminaren teilnehmen möchten, wählen Sie einfach die entsprechenden Webinare aus.
Eventdatum: Mittwoch, 24. Januar 2024 17:00 – 18:00
Eventort: Online
Firmenkontakt und Herausgeber der Eventbeschreibung:
Canon Medical Systems GmbH
Hansemannstr. 67
41468 Neuss
Telefon: +49 (2131) 1809-0
Telefax: +49 (2131) 1809-139
http://de.medical.canon
Weiterführende Links
verantwortlich. Dieser ist in der Regel auch Urheber der Eventbeschreibung, sowie der angehängten
Bild-, Ton-, Video-, Medien- und Informationsmaterialien. Die United News Network GmbH
übernimmt keine Haftung für die Korrektheit oder Vollständigkeit des dargestellten Events. Auch bei
Übertragungsfehlern oder anderen Störungen haftet sie nur im Fall von Vorsatz oder grober Fahrlässigkeit.
Die Nutzung von hier archivierten Informationen zur Eigeninformation und redaktionellen Weiterverarbeitung
ist in der Regel kostenfrei. Bitte klären Sie vor einer Weiterverwendung urheberrechtliche Fragen mit dem
angegebenen Herausgeber. Eine systematische Speicherung dieser Daten sowie die Verwendung auch von Teilen
dieses Datenbankwerks sind nur mit schriftlicher Genehmigung durch die United News Network GmbH gestattet


